“Amazing experience from start to finish. The cone beam imaging showed me exactly what was happening with my teeth. Professional, caring, and truly advanced care.”
Dr. Church combines artistry with cutting-edge technology to create stunning smile transformations that look completely natural. Using digital smile design technology, we show you exactly what your results will look like before treatment begins. Every cosmetic dental procedure includes a try-in phase to ensure you’re completely happy with your new smile before we make any permanent changes.
Our cosmetic dentistry approach focuses on enhancing your natural beauty while addressing your specific concerns. Whether you want subtle improvements or a complete smile makeover, we take time to understand your goals and create a personalized treatment plan that fits your lifestyle and budget.

Achieve a brighter, more confident smile with our professional whitening treatments. We offer both in-office whitening for immediate results and custom take-home systems for gradual whitening at your convenience. Our advanced whitening systems are safe, effective, and provide longer-lasting results than over-the-counter products.

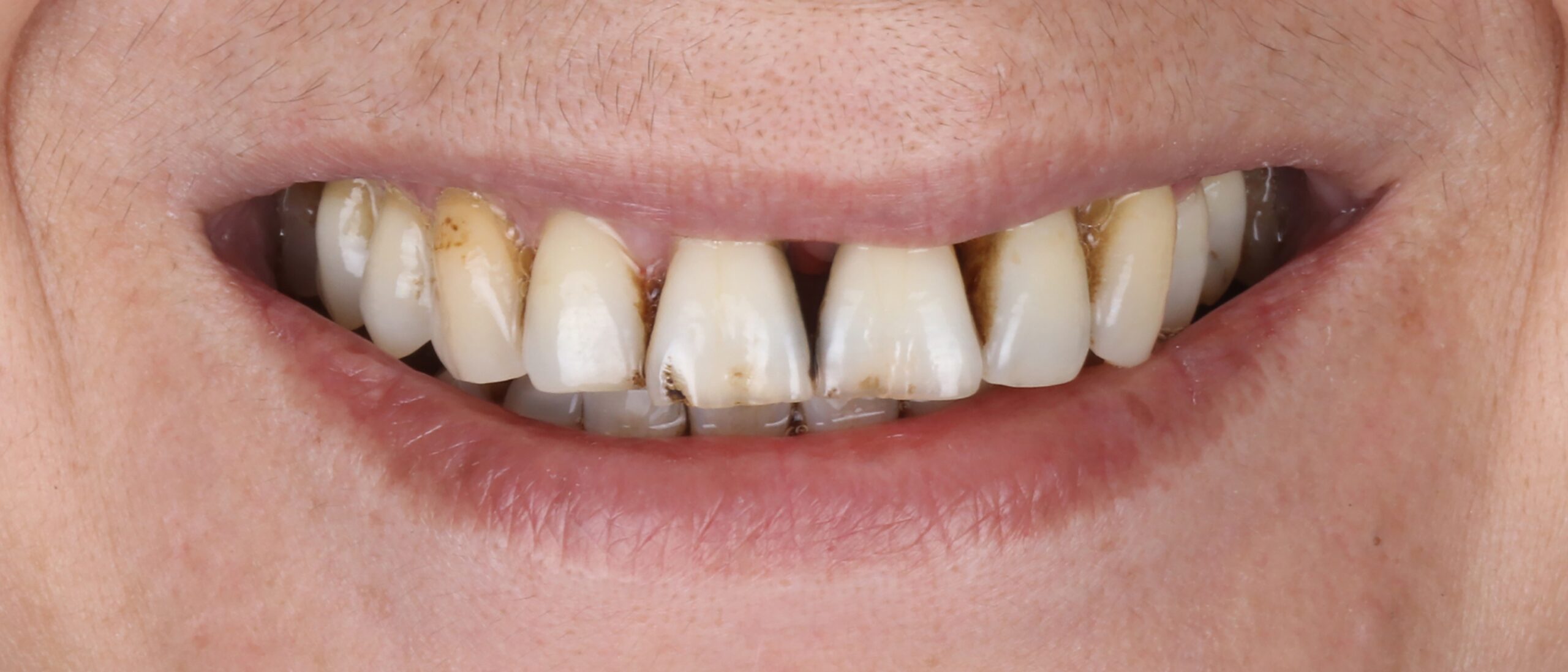
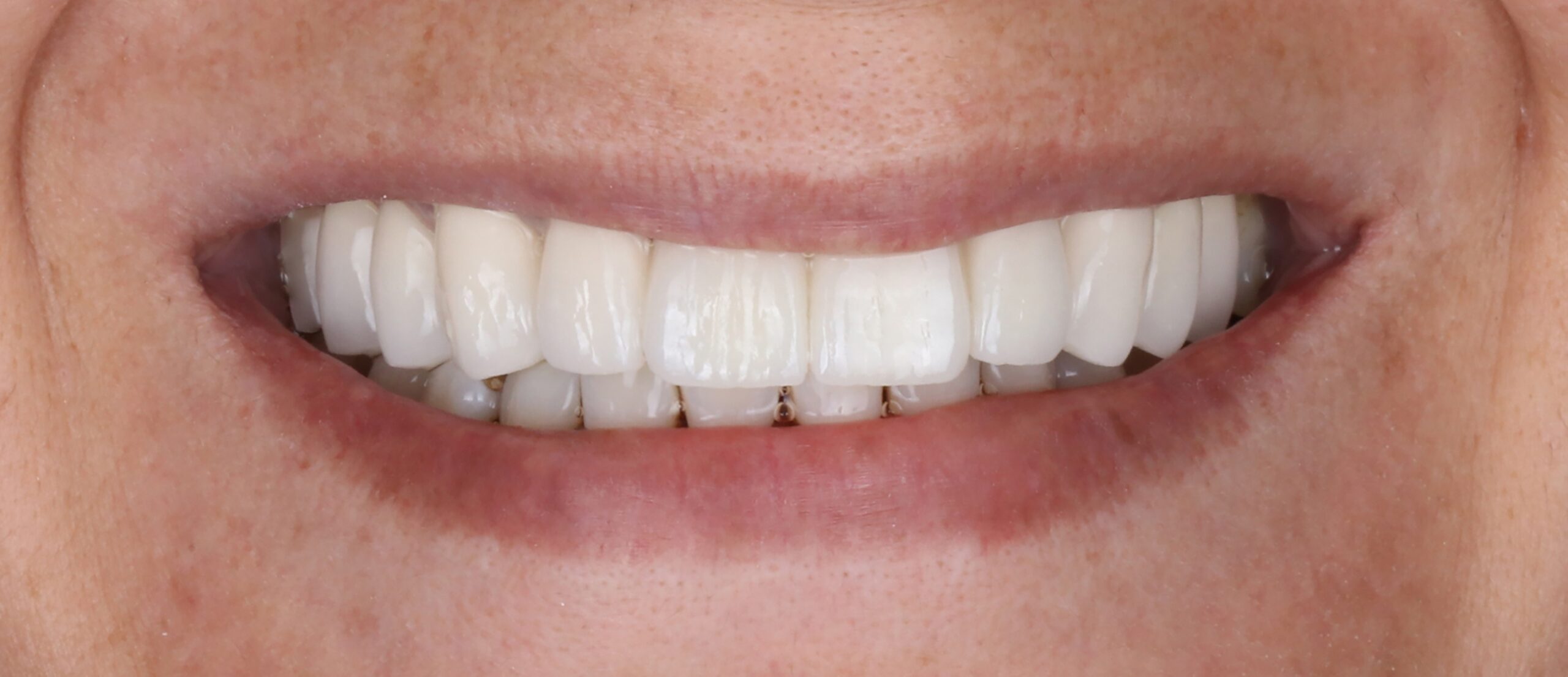
Transform your smile with ultra-thin porcelain veneers that correct chips, gaps, stains, and minor misalignment. Dr. Church uses advanced digital design technology to create veneers that perfectly complement your facial features and desired outcome. Each veneer is custom-crafted for optimal fit, function, and natural appearance.

Comprehensive smile makeovers combine multiple cosmetic treatments to address all your aesthetic concerns. Using digital smile design, we create a complete treatment plan that may include whitening, veneers, crowns, and orthodontics to achieve your dream smile. Every makeover is carefully planned to ensure harmony with your facial features.
We begin with a detailed consultation to understand your aesthetic goals, lifestyle needs, and budget considerations. Using advanced imaging technology, we analyze your current smile and discuss all available options to achieve your desired results.
Advanced computer imaging allows us to show you exactly how your new smile will look before we begin treatment. This technology helps us plan precise treatments and ensures you're completely satisfied with your expected results before we start.
For major cosmetic procedures, we provide try-ins or temporary restorations so you can see and feel your new smile before permanent placement. This crucial step ensures you're completely happy with the appearance, comfort, and function of your new smile.
Once you've approved your new smile design, we complete your treatment using the highest quality materials and precision techniques. Dr. Church's attention to detail ensures your final results exceed your expectations for beauty, comfort, and durability.
Our advanced imaging technology creates detailed 3D models of your teeth and allows us to digitally design your new smile. You can see your results before treatment begins, ensuring complete satisfaction with your cosmetic dentistry investment.
Advanced shade-matching technology ensures your cosmetic dental restorations blend seamlessly with your natural teeth. Our digital color analysis provides precise color matching for the most natural-looking results possible.
Modern cosmetic dentistry techniques preserve more of your natural tooth structure while delivering superior aesthetic results. Our conservative approach maintains tooth strength while creating beautiful, long-lasting improvements.






“Amazing experience from start to finish. The cone beam imaging showed me exactly what was happening with my teeth. Professional, caring, and truly advanced care.”
“Dr. Church and his team transformed my smile with clear aligners. The technology they use made the whole process so much easier than I expected. Highly recommend!”
“As someone who was nervous about dental work, Dr. Church made me feel completely comfortable. The same-day crown technology saved me so much time!”
Quality cosmetic dentistry is an investment in your confidence and well-being. We offer multiple financing options to make your dream smile affordable:
We provide detailed treatment estimates before beginning any cosmetic work. You’ll understand all costs upfront with no hidden fees or surprise charges. Our team helps you explore all payment options to find the solution that works best for your budget.
Dr. Church has received ongoing training in cosmetic dentistry techniques and stays current with the latest advances in materials and methods. His artistic eye combined with technical precision ensures beautiful, natural-looking results for patients throughout Durham, NC.
Unlike many practices, we use try-ins and digital previews so you can see and approve your results before permanent treatment. This ensures complete satisfaction with your cosmetic investment.
Advanced imaging, digital smile design, and precision color-matching technology enhance every cosmetic treatment, providing more predictable and superior results.
We take time to understand your goals, lifestyle, and budget before recommending treatment. Your comfort, satisfaction, and confidence are our primary concerns throughout the entire process.
The right treatment depends on what you’re hoping to change and the current condition of your teeth. Porcelain veneers work well for patients looking to address multiple concerns at once, including staining, chips, gaps, or mild misalignment, in a relatively short timeframe. Clear aligners are the better fit if straightening is your primary goal. Teeth whitening alone may be all that’s needed if your main concern is discoloration. At your consultation, Dr. Church uses advanced digital imaging to analyze your smile, walk you through your options, and show you what results could look like before any treatment begins.
Digital smile design is a technology-driven process that allows Dr. Church to digitally map your current smile and simulate what it will look like after treatment. Using advanced imaging software, you can preview your results in detail before any permanent changes are made. For major cosmetic procedures, the practice also provides try-ins, which are temporary versions of your restorations you can wear, evaluate, and approve before the final work is placed. This step is built into the process at Church Family Dentistry and is designed to ensure you’re fully confident in your outcome.
It depends on the degree of misalignment. For patients with mild to moderate crowding or spacing issues, clear aligner therapy is an excellent option that gradually shifts teeth into position without traditional metal brackets or wires. Veneers can also create the appearance of straighter teeth in some cases. Dr. Church will assess your specific situation during your consultation and help you understand which approach, or combination of approaches, makes the most sense for your goals and timeline.
Most purely cosmetic procedures, such as teeth whitening and veneers placed for aesthetic reasons, are not covered by standard dental insurance. However, some treatments that serve both cosmetic and functional purposes, such as crowns or dental bonding to repair a damaged tooth, may have partial coverage. Dr. Church’s team will review your benefits before your appointment and provide a transparent cost breakdown so there are no surprises. For the investment that isn’t covered by insurance, financing is available through Cherry, Sunbit, and Proceed.
Yes. Cosmetic treatments are most successful when they’re built on a healthy foundation. If there are underlying issues like decay, gum disease, or failing restorations, those are addressed first before any cosmetic work begins. This sequencing isn’t a barrier; it’s part of the planning process. Dr. Church’s approach integrates general dentistry and cosmetic care so your results are not only beautiful but also structurally sound and long-lasting.
Your cosmetic consultation includes:
Ready to transform your smile? Call 919-220-6553 to schedule your cosmetic dentistry consultation with Dr. Church. During this comprehensive appointment, we’ll discuss your goals, show you what’s possible, and create a personalized treatment plan for your dream smile. Contact our office to get started.
Experience the difference that advanced technology and compassionate care can make. At Church Dentistry, we’re committed to providing Durham residents with exceptional dental care in a comfortable, modern environment. Whether you need a routine cleaning, cosmetic enhancement, or complex restorative work, our team is here to help you achieve optimal oral health and the confident smile you deserve. Contact us today to schedule your consultation and discover why patients throughout Durham trust us with their smiles.